患者さまの症例写真や治療例ごとの期間・費用

矯正カウンセリングを行なっております。お気軽にご相談ください 044-856-1900 ご予約・お問い合わせ

矯正治療例

Case

矯正治療症例

くらしま矯正歯科で実際に治療を受けられた患者さまの症例写真のご紹介です。ご自身の歯並びに近いものがありましたら、どのように変化するか、ぜひご参考になさってください。
なお、治療費に表示しています価格は税抜ですので、いずれも実際のお支払い額は税込(10%)の価格となります。また、矯正歯科治療は、公的健康保険対象外の自費診療となります。

※症例写真について

・すべて当医院で治療を完了し、掲載の許可をいただいた患者さまのものです。
・トリミング(切り抜き)などを除き、画像の修正は行なっていません。
・治療はすべて各患者さま固有の症例に対応したものであり、ほかの方への治療結果を保証するものではありません。

舌側矯正の治療例

出っ歯(上下顎前突)

治療前
治療前 治療前
治療中
治療中 治療中
治療後
治療後 治療後
治療名 舌側矯正 患者さま情報 28歳 女性
治療期間・回数 2年8ヵ月・32回 治療費 900,000~1,050,000円(税抜)
使用したおもな装置 マルチリンガルブラケット装置、歯科矯正用アンカースクリュー
主訴・治療内容・抜歯部位など 上下の前歯が唇側に傾斜しており、口元が出ていることを気にされていた患者さまです。なるべくほかの人から矯正装置が見えないような治療を希望され、歯の裏側に矯正装置を装着しました。上下の抜歯を行ない前歯を後退させることによって、口も閉じやすくなります。
抜歯部位は、上顎左右第一小臼歯、下顎右側第二小臼歯、左側第一小臼歯です。
メインテナンスの頻度は月1回です。
リスクや副作用などの注意点 舌側矯正治療は、装置装着後約1週間は舌の横がこすれる感覚があり、話しづらくなることがあります。装着後1ヵ月ほどで慣れてきます。

表側矯正の治療例

受け口(反対咬合、下顎前突)

治療前
治療前
治療後
治療後
治療名 表側矯正 患者さま情報 18歳 男性
治療期間・回数 2年5ヵ月・29回 治療費 700,000~800,000円(税抜)
使用したおもな装置 マルチブラケット装置
主訴・治療内容・抜歯部位など 前歯が受け口のため表側矯正治療を行ないました。上下の歯を抜歯して前歯の噛み合わせを改善することで、噛む機能や口元の印象が大きく変化しました。
抜歯部位は、上顎左右第二小臼歯、下顎左右第一小臼歯です。
メインテナンスの頻度は月1回です。
リスクや副作用などの注意点 装置装着後に歯磨きが不十分だと、虫歯や歯肉炎、歯周病が悪化することがあります。

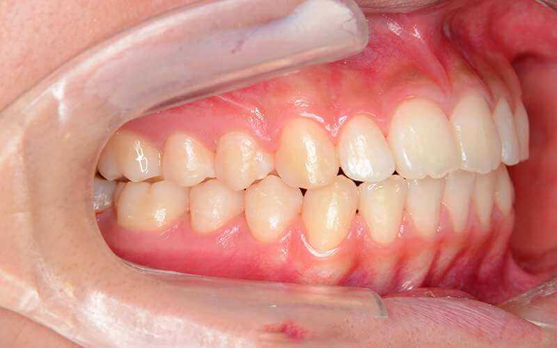
上と下の前歯が噛み合わない(開咬)

治療前
治療前
治療後
治療後
治療名 表側矯正 患者さま情報 21歳 女性
治療期間・回数 2年7ヵ月・31回 治療費 700,000~800,000円(税抜)
使用したおもな装置 マルチブラケット装置、歯科矯正用アンカースクリュー
主訴・治療内容・抜歯部位など 上下の前歯が噛み合わず、前歯で食べ物を噛み切れない患者さまです。前歯が噛み合わないと食べ物を食べづらいばかりでなく、発音も不明瞭になりやすいなど、お口の機能に大きな問題が出てしまいます。表側矯正でしっかりとした噛み合わせをつくることで奥歯の過度な負担をなくし、お口の本来の機能を取り戻しました。
抜歯部位は、上顎左右第一小臼歯、下顎第一大臼歯です。
メインテナンスの頻度は月1回です。
リスクや副作用などの注意点 治療中に患者さまにゴムを使用していただくため、積極的にご協力いただけない場合は、治療期間が長くなったり噛み合わせが十分に改善しない場合があります。

お子さまの矯正の治療例

八重歯や前歯のでこぼこ(叢生)

治療前
治療前
治療中
治療中
治療後
治療後
治療名 小児矯正、表側矯正 患者さま情報 9歳 女性
治療期間・回数 5年0ヵ月・40回 治療費 400,000~450,000円(税抜)
使用したおもな装置 拡大床、ヘッドギア、マルチブラケット装置
主訴・治療内容・抜歯部位など 顎に対して永久歯が大きいため、永久歯が生えるスペースが不足していました。まず、12歳までの小児矯正治療で永久歯の生えるスペースをつくり、でこぼこを軽度にしました。その後、表側矯正で歯を抜かずにでこぼこを治しました。適切な時期に小児矯正を行なうことにより、抜かないで治せる可能性が高くなります。
メインテナンスの頻度は1~3ヵ月に1回です。
リスクや副作用などの注意点 小児矯正治療では、取り外し式の装置などを使用しますので、お子さまのご理解とご協力が必要となります。

出っ歯(上顎前突)

治療前
治療前
治療中
治療中
治療後
治療後
治療名 小児矯正、表側矯正 患者さま情報 8歳 女性
治療期間・回数 4年11ヵ月・40回 治療費 400,000~450,000円(税抜)
使用したおもな装置 ヘッドギア、マルチブラケット装置
主訴・治療内容・抜歯部位など 上の前歯が前方に大きく傾斜していたため、絶えず口が開いた状態(ポカン口)になっていたお子さまです。前歯で食べ物が噛み切れない、口が閉じられないといった機能的な問題、口元が前突している審美的な問題がありました。小児矯正治療で上下の顎の成長を整え、奥歯の噛み合わせのずれを改善することにより、表側矯正で歯を抜かずに治療できました。
メインテナンスの頻度は1~3ヵ月に1回です。
リスクや副作用などの注意点 出っ歯の場合、小児矯正後の表側矯正治療が必要になることが多く、治療期間が長くなることがあります。
リスク・副作用について
●矯正治療にともなう一般的なリスク・副作用

・機能性や審美性を重視するため、公的健康保険対象外の自費診療となり、保険診療よりも高額になります。
・最初は矯正装置による不快感、痛みなどがあります。数日から1~2週間で慣れることが多いです。
・治療期間は症例により異なりますが、成人矯正や永久歯がすべて生えそろっている場合は、一般的に1年半~3年を要します。小児矯正においては、混合歯列期(乳歯と永久歯が混在する時期)に行なう第1期治療で1~2年、永久歯がすべて生えそろったあとに行なう第2期治療で1~2年半を要することがあります。
・歯の動き方には個人差があるため、治療期間が予想より長期化することがあります。
・装置や顎間ゴムの扱い方、定期的な通院など、矯正治療では患者さまのご協力がたいへん重要であり、それらが治療結果や治療期間に影響します。
・治療中は、装置がついているため歯が磨きにくくなります。虫歯や歯周病のリスクが高まるので、丁寧な歯磨きや定期メンテナンスの受診が大切です。また、歯が動くことで見えなかった虫歯が見えるようになることもあります。
・歯を動かすことにより歯根が吸収され、短くなることがあります。また、歯肉が痩せて下がることがあります。
・ごくまれに、歯が骨と癒着していて歯が動かないことがあります。
・ごくまれに、歯を動かすことで神経に障害を与え、神経が壊死することがあります。
・治療中に金属などのアレルギー症状が出ることがあります。
・治療中に、「顎関節で音が鳴る、顎が痛い、口をあけにくい」などの顎関節症状が出ることがあります。
・問題が生じた場合、当初の治療計画を変更することがあります。
・歯の形状の修正や、噛み合わせの微調整を行なうことがあります。
・矯正装置を誤飲する可能性があります。
・装置を外すときに、エナメル質に微小な亀裂が入る可能性や、補綴物(被せ物など)の一部が破損することがあります。
・装置を外したあと、保定装置を指示どおりに使用しないと後戻りが生じる可能性が高くなります。
・装置を外したあと、現在の噛み合わせに合わせて補綴物(被せ物など)の作製や虫歯治療などをやり直す可能性があります。
・顎の成長発育により、歯並びや噛み合わせが変化する可能性があります。
・治療後に、親知らずの影響で歯並びや噛み合わせが変化する可能性があります。
・加齢や歯周病などにより、歯並びや噛み合わせが変化することがあります。
・矯正治療は、一度始めると元の状態に戻すことが難しくなります。

●舌側矯正治療にともなう一般的なリスク・副作用

・機能性や審美性を重視するため、公的健康保険対象外の自費診療となり、保険診療よりも高額になります。
・装置に慣れるまで発音しづらいなどの症状が出ることがあります。
・矯正装置を装着している期間は、適切に歯磨きができていないと、虫歯や歯周病にかかりやすくなります。歯磨き指導をしますので、毎日きちんと歯を磨き、口腔内を清潔に保つようご協力をお願いします。
・歯磨き、エラスティック(顎間ゴム)の使用、装置の取り扱い、通院などを適切に行なっていただけない場合、治療の期間や結果が予定どおりにならないことがあります。
・成長期の患者さまの治療では、顎骨の成長を予測し、現段階において適切な治療を行ないますが、まれに予期できない顎の成長や変化によって治療法や治療期間が大きく変わることがあります。また、顎の変形が著しい場合には、矯正治療に外科的処置を併用することがあります。
・歯を移動させることにより、まれに歯根の先端がすり減って短くなる「歯根吸収」を起こすことがあります。しかし、適切な矯正力で歯を移動させることでセメント質(歯根表面を覆っている組織)が修復されるため、歯根吸収のリスクを軽減できます。
・歯の周囲の組織は、治療前の状態に戻ろうと「後戻り」する性質があるため、治療後も数ヵ月から1年に1回ほどの頻度で通院いただいて歯の状態を管理し、後戻りを防ぐ必要があります。

●歯科矯正用アンカースクリューによる矯正治療にともなう一般的なリスク・副作用

・公的健康保険対象となる使用方法と、公的健康保険対象外の自費診療となる使用方法があり、自費診療となる場合は保険診療よりも高額になります。
・骨と化学的な結合をしないため、患者さまの骨の状態や口腔衛生状態によっては脱落することがあります。
・脱落した場合は再埋入を行なうことがあります。脱落部分の骨の穴が回復するまで数ヵ月の時間を要するため、別の部分に埋め込むことがあります。
・歯科矯正用アンカースクリューは骨に埋まっていますが、その頭部は歯肉の外にあるため、ケアを怠ると骨に感染することがあります。
・歯科矯正用アンカースクリューは歯根の間に埋入されることが多いため、埋入時に歯根を傷つけることがあります。

●プレートを使った矯正治療にともなう一般的なリスク・副作用

・機能的・審美的に仕上げるための治療なので、公的健康保険対象外の自費診療となり、保険診療よりも高額になります。
・固定式のものは、ご自身では取り外せません。
・装置後1週間ほどは、発音・嚥下時に違和感を覚えるほか、鼻や口元にツンとした痛みを感じることがあります。
・この装置をつけた歯とその周辺の歯に痛みが生じることがあります。また、口内炎を発症することがあります。
・歯列が横に広がることで、一時的に前歯にすき間が生じることがありますが、時間の経過とともに自然に閉じてきます。
・お子さまが治療に協力的でない場合、良好な治療結果を得られないことがあります。
・取り外し式のものは、毎日の装着を怠ると、良好な治療結果を得られないことがあります。
・食べ物が装置につきやすく、歯を磨きにくくなります。とくにワイヤーやねじの部分に汚れが溜まりやすいので、仕上げ磨きをするなどご家族のサポートが必要になることがあります。
・固定式ものは、歯磨きがきちんとできていないと虫歯を発症するリスクが高まります。
・生涯良好な歯並びであることを保証する治療ではありません。治療後、成長により不正咬合が現れることがあります。
・正しい使い方ができていないと、かえって悪い歯並びになってしまうことがあります。
・この装置だけで、お口周りの問題をすべて解決できるわけではありません。

●ヘッドギアを使った矯正治療にともなう一般的なリスク・副作用

・機能的・審美的に仕上げるための治療なので、自費(保険適用外)での診療となり、保険診療よりも高額になります。
・できる限り長時間装着する必要があるため、「装着しているところを人に見られたくない」と感じるお子さまの場合は、ストレスになることがあります。
・頭部に装置を装着するため、激しく動いたり無理な力を加えると、外れたり引っかかったりしてけがをする場合があります。活発に動くお子さまがいらっしゃるご家庭では、ヘッドギア装着中は、お子さまの状況を観察し、必要に応じて外すなどのサポートが必要になることがあります。
・生涯良好な歯並びであることを保証する治療ではありません。治療後、成長により不正咬合が現れることがあります。
・正しい使い方ができていないと、かえって悪い歯並びになってしまうことがあります。
・この装置だけで、お口周りの問題をすべて解決できるわけではありません。

矯正カウンセリングを行なっております。お気軽にご相談ください